Table Content
May August 2018

Volume - 1, Issue -1

Pages 1- 50

Free Online Access

2018

Accessed - 13418

EDITORIAL
Guest Editorial
ADBHUT MATRUTVA
Jaideep Malhotra

President FOGSI 2018

Full text PDF

Original Article
Systematic Review
"Do It Yourself Abortion Pills: Current Scenario in India
Ritu Sharma, Rakhee Sharma, Samiksha Singh, Vishakha Mavi
page 7-11

Full text PDF

Review Article
Review Article
Review Article
Review Article
Review Article
Case Report
Umbilical Coiling Index: An Important Predictor of Fetal Outcome
Aruna Nigam, Anshu Sharma, Arifa A Elahi, Swaraj Batra
page 44-47

Full text PDF

Case Report
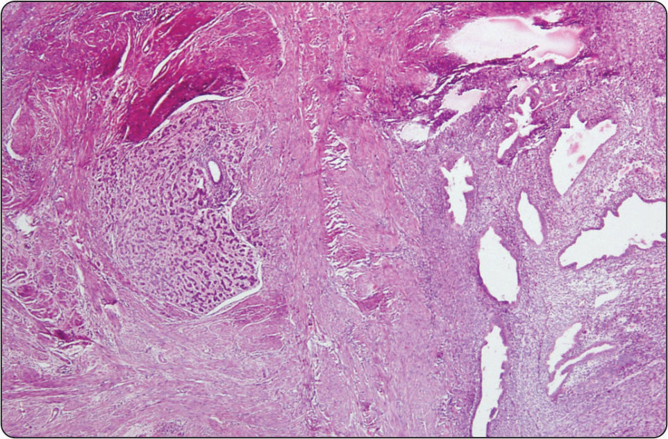
Plexiform Tumorlets of Uterus: A Case Report
Ujjawal Khurana, Gunjan Raghubanshi, Sunita Arora, RPS Punia, Harsh Mohan
page 48-50

Full text PDF

© 2018 | PAJOG All rights reserved.

TOP