Table Content
January - April 2020

Volume - 3, Issue-1

Pages:1-54

Free Online Access

2020

Accessed - 6803

Editorial
Original Article
Neonatal and Maternal Health Outcomes after Preterm Vaginal and Cesarean Breech Deliveries
Emma Downes, Shamitha Kathurusinghe, Degu Abebe, Chelsea Glennon, Penny Sheehan
P: 6 - 13

Full text PDF

Original Article
Spectrum of Birth Defects and Associated Maternal Risk Factors in Women Delivering at Tertiary Care Hospital
Archana Gangania, Manjula Sharma, Rekha Bharti, Shobhna Gupta, Harish Chellani, Neelam Roy
P: 14 - 21

Full text PDF

Original Article
Original Article
Original Article
Scar Endometriosis�RetrospectiveObservational Study
T Ramani Devi, S Shameema Banu, T Harini, D Gayathri
P: 34 - 38

Full text PDF

Review Article
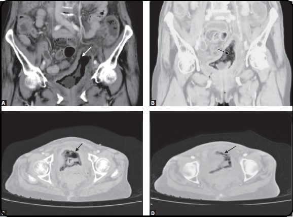
Case Report
Gas in the Bladder: A Nightmare
Swati Kanchan, Richa Chouksey, Lakshmikant HK, Shripad Hebbar, Christian Fuenfgeld, Deeksha Pandey
P: 51 - 54

Full text PDF

© 2018 | PAJOG All rights reserved.

TOP